A Veneer Turning Bluish
Posted by writeradmin
I’m worried that something is wrong with one of my porcelain veneers and that it may fall off. When I first got it, one of the veneers was a bit lower than the others. My dentist shaved it down in order to even them out, but then a couple of weeks later the veneer started turning a bluish color. I told my dentist about the color concern. He had me come in, but after he looked at it told me that it looked fine and he’s great with color. He thinks I’m being overly critical. I guess that’s possible, but I swear it looks bluish. It it possible he damaged something when he shaved it and just doesn’t want to admit it? I’m worried that it is going to fall off. If it does, would it be considered a dental emergency?
Bonnie
Dear Bonnie,

First, I will say I to not think you are being too picky. You paid for a beautiful smile and you should get one. It sounds like your dentist is more of a general dentist than a cosmetic dentist. In dental school, dentists are taught that they are the experts and know best. However, dentists who do post-doctoral training in cosmetic work learn that when it comes to loving the appearance of a smile in a smile makeover, it’s the patient’s feelings that rules.
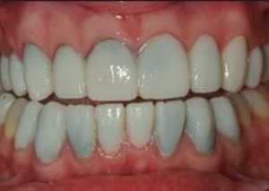
I don’t think the shaving would have caused the discoloration. You did say it was lower than the others. This makes me wonder if there were some issues when he was bonding it on. Above, you should see an image of porcelain veneers with a bluish tint. This is known as leaky veneers. This usually means something is getting underneath the veneers. The bond of the veneer will eventually fail.
It will be best if it falls off on its own because then it can be carefully rebonded on with no trouble as long as you go to a true cosmetic dentist. While not all dentists would consider it a dental emergency, a true cosmetic dentist will understand an esthetic emergency.
If it doesn’t fall off soon and grows unsightly, you can have it ground off so that it can be replaced. Your dentist is ethically required to share all your treatment notes with any cosmetic dentist you choose to do this. That should save you money in replacing it.
This blog is brought to you by friendly dentist in Arnold, MD Dr. Meredith Esposito.